Advanced
Search

Rocky Point Orthodontics

Board certified Rocky Point orthodontist, Dr. Miller, has been practicing for nearly a decade, and is dedicated to giving his clients the smiles they’ve always wanted. Our practice is proud to offer a variety of orthodontic services, including traditional braces, clear braces, Invisalign, and more. We create results that change how you look and feel within a caring and fun environment

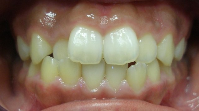
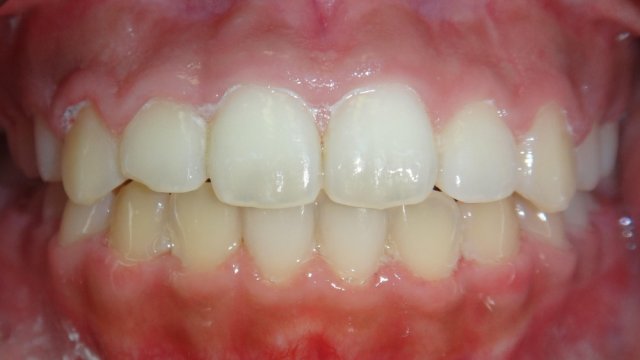
After
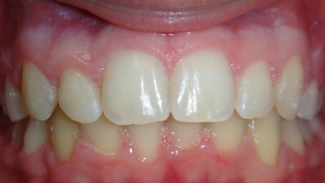
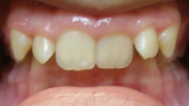
Before
Before After
After
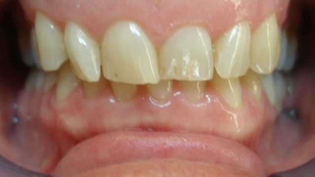
Before
Before After
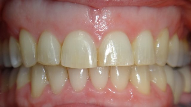
After
Before
Before After

Rocky Point Orthodontics Information

Rocky Point Orthodontics In-Network InsurancesLoading Insurances
Dental SpecialtiesLoading Specialties
Provider Details1 Providers
Photos Of Rocky Point Orthodontics Loading Photos

347 Route 25a Rocky Point, NY 11778

Dental Demographics For Rocky Point Orthodontics

Rocky Point Orthodontics is currently closed

Saturday:10:00 AM - 02:00 PM
Sunday:Closed
Monday:10:00 AM - 05:00 PM
Tuesday:10:00 AM - 06:00 PM
Wednesday:10:00 AM - 05:00 PM
Thursday:10:00 AM - 05:00 PM
Friday:10:00 AM - 06:00 PM

Reviews For Rocky Point Orthodontics

0 Reviews

Be The First To Leave a Review

Leave a Review